
Zabieg Zęby w jeden dzień w Kołobrzegu to innowacyjne rozwiązanie, które zyskuje coraz większą popularność wśród pacjentów poszukujących szybkiej i efektywnej metody odbudowy uzębienia. Główną zaletą tego zabiegu jest możliwość uzyskania natychmiastowych efektów, co oznacza, że pacjenci mogą cieszyć się nowym uśmiechem już po jednej wizycie. Dzięki zastosowaniu nowoczesnych technologii, takich jak cyfrowe skanowanie oraz druk 3D, lekarze stomatolodzy są w stanie precyzyjnie dopasować protezy do indywidualnych potrzeb pacjenta. Kolejnym atutem jest oszczędność czasu, ponieważ tradycyjne metody często wymagają wielu wizyt oraz długiego okresu oczekiwania na wykonanie prac protetycznych. W Kołobrzegu wiele gabinetów oferuje kompleksową obsługę, co sprawia, że pacjenci mogą liczyć na pełne wsparcie na każdym etapie leczenia. Dodatkowo, zabieg ten jest często mniej inwazyjny niż tradycyjne metody, co przekłada się na mniejsze ryzyko powikłań oraz szybszy proces gojenia.
Jak wygląda proces Zęby w jeden dzień w Kołobrzegu
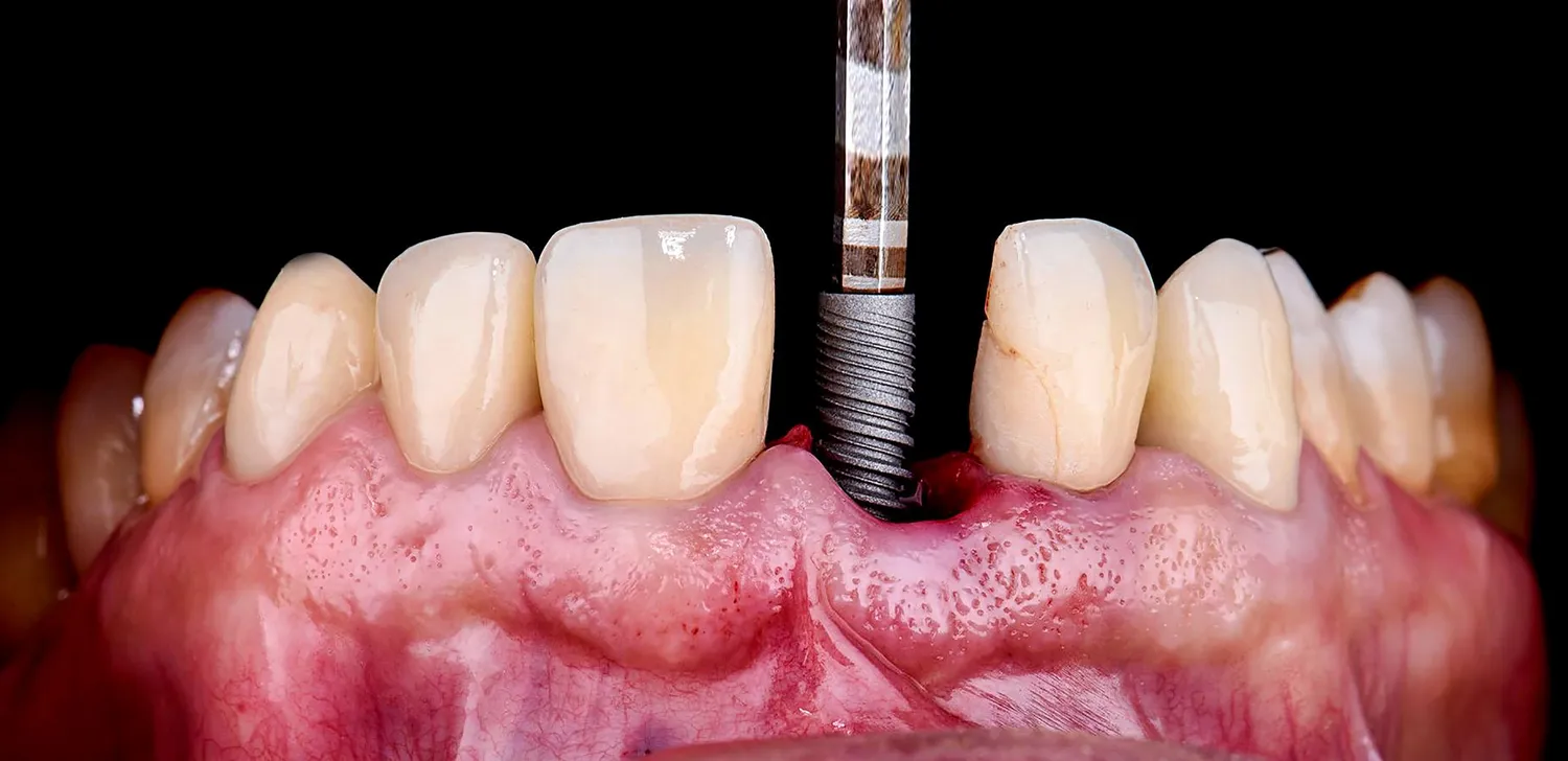
Proces Zęby w jeden dzień w Kołobrzegu rozpoczyna się od szczegółowej konsultacji ze stomatologiem, który ocenia stan uzębienia pacjenta oraz ustala plan leczenia. Na tym etapie wykonuje się również cyfrowe skanowanie jamy ustnej, co pozwala na dokładne odwzorowanie kształtu zębów i dziąseł. Następnie lekarz przystępuje do przygotowania zębów do zabiegu, co może obejmować usunięcie zniszczonych lub chorych zębów oraz ewentualne leczenie kanałowe. Po przygotowaniu następuje etap wykonywania tymczasowych protez, które są zakładane na miejsce usuniętych zębów. Dzięki nowoczesnym technologiom możliwe jest szybkie wykonanie tych protez bez konieczności długiego oczekiwania. Po założeniu tymczasowych rozwiązań lekarz przystępuje do wykonania ostatecznych protez, które są precyzyjnie dopasowane do jamy ustnej pacjenta. Cały proces trwa zazwyczaj kilka godzin, a pacjent może opuścić gabinet z nowym uśmiechem jeszcze tego samego dnia.
Jakie są koszty zabiegu Zęby w jeden dzień w Kołobrzegu

Koszty zabiegu Zęby w jeden dzień w Kołobrzegu mogą się różnić w zależności od wielu czynników, takich jak zakres prac protetycznych czy użyte materiały. Warto zaznaczyć, że cena takiego zabiegu zazwyczaj obejmuje nie tylko samą procedurę, ale także konsultacje oraz wszelkie niezbędne badania diagnostyczne. Średnio ceny wahają się od kilku do kilkunastu tysięcy złotych, co może być znaczną inwestycją dla wielu pacjentów. Jednak warto spojrzeć na to z perspektywy korzyści zdrowotnych oraz estetycznych, jakie niesie ze sobą nowoczesna protetyka. Wiele gabinetów stomatologicznych oferuje różne formy finansowania oraz możliwość płatności ratalnych, co ułatwia dostęp do tego typu usług dla szerszego grona osób. Dodatkowo warto zwrócić uwagę na promocje czy pakiety usług, które mogą obniżyć całkowity koszt zabiegu.
Jakie opinie mają pacjenci o Zęby w jeden dzień Kołobrzeg
Opinie pacjentów o zabiegu Zęby w jeden dzień w Kołobrzegu są zazwyczaj bardzo pozytywne. Wielu pacjentów podkreśla wygodę i komfort związany z możliwością uzyskania nowego uśmiechu w tak krótkim czasie. Osoby, które zdecydowały się na ten zabieg często zauważają znaczną poprawę jakości życia oraz wzrost pewności siebie po zakończeniu leczenia. Pacjenci chwalą również profesjonalizm personelu medycznego oraz nowoczesny sprzęt wykorzystywany podczas zabiegów. Często pojawiają się opinie dotyczące estetyki wykonanych protez, które wyglądają naturalnie i są dobrze dopasowane do reszty uzębienia. Niektórzy pacjenci zwracają uwagę na krótki czas rekonwalescencji oraz małą inwazyjność procedury, co pozwala im szybko wrócić do codziennych aktywności. Oczywiście jak w każdej dziedzinie medycyny zdarzają się również negatywne opinie związane głównie z indywidualnymi doświadczeniami czy oczekiwaniami wobec efektów końcowych.
Jakie są najczęstsze pytania dotyczące Zębów w jeden dzień w Kołobrzegu
Wielu pacjentów, zanim zdecyduje się na zabieg Zęby w jeden dzień w Kołobrzegu, ma szereg pytań dotyczących samej procedury oraz jej efektów. Jednym z najczęściej zadawanych pytań jest to, czy zabieg jest bolesny. Warto zaznaczyć, że nowoczesne techniki znieczulenia stosowane przez stomatologów minimalizują dyskomfort związany z zabiegiem. Pacjenci często pytają również o czas trwania całej procedury. Zazwyczaj można spodziewać się, że cały proces zajmie od kilku do kilkunastu godzin, w zależności od skomplikowania przypadku. Kolejnym istotnym zagadnieniem jest trwałość wykonanych protez. Wiele osób zastanawia się, jak długo będą one służyć i czy wymagają specjalnej pielęgnacji. Protezy wykonane w technologii Zęby w jeden dzień są zazwyczaj bardzo wytrzymałe, ale ich żywotność może być różna w zależności od indywidualnych nawyków higienicznych pacjenta oraz jego diety. Pacjenci pytają także o możliwość reklamacji lub poprawek, jeśli efekty nie spełnią ich oczekiwań.
Jakie materiały są używane podczas zabiegu Zęby w jeden dzień w Kołobrzegu
Podczas zabiegu Zęby w jeden dzień w Kołobrzegu wykorzystywane są nowoczesne materiały protetyczne, które zapewniają zarówno estetykę, jak i funkcjonalność. Najczęściej stosowanym materiałem są ceramika i kompozyty, które charakteryzują się wysoką odpornością na ścieranie oraz naturalnym wyglądem. Ceramika dentystyczna jest szczególnie ceniona za swoje właściwości estetyczne, ponieważ doskonale imituje naturalne zęby pod względem koloru i przejrzystości. Dodatkowo, materiały te są biokompatybilne, co oznacza, że nie wywołują reakcji alergicznych ani podrażnień u pacjentów. W przypadku implantów dentystycznych najczęściej wykorzystuje się tytan, który jest materiałem niezwykle trwałym i odpornym na korozję. Tytan jest również dobrze tolerowany przez organizm ludzki, co czyni go idealnym wyborem do zastosowań medycznych.
Jakie są przeciwwskazania do zabiegu Zęby w jeden dzień w Kołobrzegu
Przed przystąpieniem do zabiegu Zęby w jeden dzień w Kołobrzegu istnieją pewne przeciwwskazania, które należy rozważyć. Osoby cierpiące na choroby ogólnoustrojowe takie jak cukrzyca czy choroby serca powinny skonsultować się ze swoim lekarzem przed podjęciem decyzji o leczeniu protetycznym. Cukrzyca może wpływać na proces gojenia oraz zwiększać ryzyko powikłań pooperacyjnych. Podobnie osoby przyjmujące leki przeciwzakrzepowe muszą być ostrożne i omówić swoje leczenie z lekarzem stomatologiem przed zabiegiem. Inne przeciwwskazania mogą obejmować aktywne infekcje jamy ustnej lub choroby przyzębia, które powinny być najpierw leczone przed przystąpieniem do procedury protetycznej. Ważne jest również, aby pacjenci byli świadomi swoich oczekiwań wobec efektów końcowych zabiegu; nierealistyczne oczekiwania mogą prowadzić do rozczarowania i niezadowolenia z uzyskanych rezultatów.
Jak dbać o nowe zęby po zabiegu Zęby w jeden dzień w Kołobrzegu
Prawidłowa pielęgnacja nowych zębów po zabiegu Zęby w jeden dzień w Kołobrzegu jest kluczowa dla ich długowieczności i zdrowia jamy ustnej. Po zakończeniu procedury pacjent powinien przestrzegać zaleceń lekarza dotyczących higieny jamy ustnej oraz regularnych wizyt kontrolnych. Należy pamiętać o codziennym szczotkowaniu zębów co najmniej dwa razy dziennie oraz używaniu nici dentystycznej do usuwania resztek pokarmowych z przestrzeni międzyzębowych. Warto również rozważyć stosowanie płynów do płukania jamy ustnej zawierających składniki antybakteryjne, które pomogą utrzymać zdrowe dziąsła i zapobiegać infekcjom. Po zabiegu zaleca się unikanie twardych pokarmów przez pierwsze kilka dni oraz ograniczenie spożycia napojów barwiących, takich jak kawa czy herbata, aby uniknąć przebarwień na nowych protezach. Regularne wizyty kontrolne u stomatologa pozwolą na monitorowanie stanu uzębienia oraz ewentualne korekty czy naprawy protez w razie potrzeby.
Jak znaleźć najlepszy gabinet stomatologiczny oferujący Zęby w jeden dzień w Kołobrzegu
Aby znaleźć najlepszy gabinet stomatologiczny oferujący usługę Zęby w jeden dzień w Kołobrzegu, warto zacząć od zebrania informacji na temat dostępnych opcji. Można to zrobić poprzez przeszukiwanie internetu oraz korzystanie z platform oceniających usługi medyczne, gdzie pacjenci dzielą się swoimi doświadczeniami i opiniami na temat różnych gabinetów stomatologicznych. Rekomendacje znajomych lub rodziny mogą również okazać się pomocne przy wyborze odpowiedniego miejsca do leczenia. Ważne jest również zwrócenie uwagi na kwalifikacje personelu medycznego oraz dostępność nowoczesnego sprzętu i technologii wykorzystywanych podczas zabiegów protetycznych. Dobry gabinet powinien oferować kompleksową obsługę pacjenta oraz indywidualne podejście do każdego przypadku. Przed podjęciem decyzji warto umówić się na konsultację, aby osobiście ocenić atmosferę panującą w gabinecie oraz uzyskać odpowiedzi na wszystkie nurtujące pytania dotyczące planowanego leczenia.
Jakie innowacje technologiczne wpływają na Zęby w jeden dzień Kołobrzeg
Innowacje technologiczne mają ogromny wpływ na rozwój usług stomatologicznych takich jak Zęby w jeden dzień w Kołobrzegu. Jednym z najważniejszych osiągnięć jest cyfrowe skanowanie jamy ustnej, które pozwala na dokładne odwzorowanie kształtu zębów i dziąseł pacjenta bez konieczności wykonywania tradycyjnych wycisków. Dzięki temu proces przygotowania do zabiegu staje się szybszy i bardziej komfortowy dla pacjentów. Kolejnym krokiem milowym jest wykorzystanie technologii CAD/CAM do projektowania i produkcji protez dentystycznych bezpośrednio w gabinecie stomatologicznym. Dzięki temu możliwe jest znaczne skrócenie czasu oczekiwania na wykonanie prac protetycznych oraz zwiększenie ich precyzji i jakości wykonania. Druk 3D to kolejna innowacja, która rewolucjonizuje branżę stomatologiczną; dzięki tej technologii można szybko produkować skomplikowane struktury protetyczne o wysokiej dokładności i estetyce.





