
Implanty zębowe w Szczecinie to nowoczesne rozwiązanie, które przynosi wiele korzyści osobom borykającym się z utratą zębów. Przede wszystkim, implanty pozwalają na przywrócenie pełnej funkcjonalności jamy ustnej, co oznacza, że pacjenci mogą swobodnie jeść, mówić i uśmiechać się bez obaw o swoje zęby. Dodatkowo, implanty są bardzo estetyczne i wyglądają jak naturalne zęby, co sprawia, że pacjenci czują się pewniej w towarzystwie. Warto również podkreślić, że implanty zębowe są trwałe i mogą służyć przez wiele lat, a nawet całe życie, jeśli są odpowiednio pielęgnowane. Dzięki nim można uniknąć problemów związanych z przesuwaniem się pozostałych zębów oraz utratą kości szczęki, co często ma miejsce w przypadku braku zębów. W Szczecinie dostępne są różnorodne metody wszczepiania implantów, co pozwala na dopasowanie leczenia do indywidualnych potrzeb pacjenta.
Jak wygląda proces zakupu implantów zębowych w Szczecinie
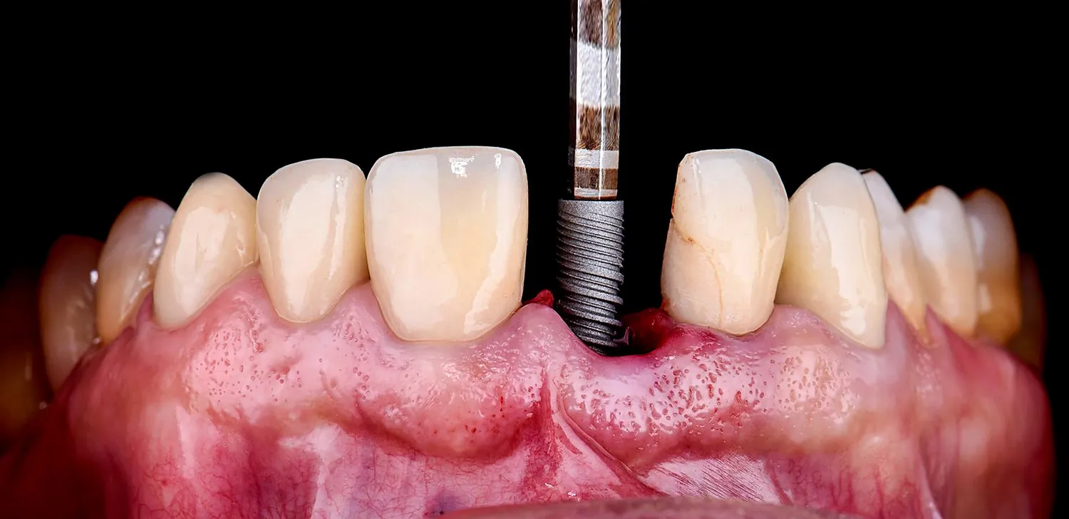
Proces zakupu implantów zębowych w Szczecinie zaczyna się od wizyty u stomatologa, który oceni stan zdrowia jamy ustnej pacjenta oraz zdecyduje o konieczności przeprowadzenia zabiegu. Po wykonaniu niezbędnych badań diagnostycznych, takich jak zdjęcia rentgenowskie czy tomografia komputerowa, lekarz opracowuje indywidualny plan leczenia. Następnie pacjent jest informowany o wszystkich etapach zabiegu oraz kosztach związanych z jego realizacją. Warto zaznaczyć, że implanty mogą być finansowane przez niektóre ubezpieczenia zdrowotne lub programy ratalne oferowane przez kliniki stomatologiczne. Po zaakceptowaniu planu leczenia następuje etap wszczepienia implantu, który odbywa się w znieczuleniu miejscowym lub ogólnym. Po zabiegu pacjent otrzymuje szczegółowe instrukcje dotyczące pielęgnacji oraz diety na czas rekonwalescencji. W kolejnych tygodniach następuje proces integracji implantu z kością szczęki, a po jego zakończeniu można przystąpić do wykonania korony protetycznej.
Jakie są najczęstsze pytania dotyczące implantów zębowych w Szczecinie
Implanty zębowe Szczecin
Wiele osób zastanawia się nad różnymi aspektami związanymi z implantami zębowymi w Szczecinie i często pojawiają się pytania dotyczące tego tematu. Jednym z najczęściej zadawanych pytań jest to, jak długo trwa proces gojenia po wszczepieniu implantu. Czas ten może być różny w zależności od indywidualnych predyspozycji organizmu oraz miejsca wszczepienia implantu, ale zazwyczaj wynosi od kilku tygodni do kilku miesięcy. Kolejnym istotnym zagadnieniem jest koszt zabiegu – ceny implantów mogą się znacznie różnić w zależności od kliniki oraz zastosowanych materiałów. Pacjenci często pytają również o ryzyko powikłań związanych z zabiegiem oraz o to, jak dbać o implanty po ich wszczepieniu. Ważne jest regularne odwiedzanie stomatologa oraz przestrzeganie zasad higieny jamy ustnej.
Jakie są opinie pacjentów na temat implantów zębowych w Szczecinie
Opinie pacjentów na temat implantów zębowych w Szczecinie są zazwyczaj pozytywne i świadczą o wysokiej jakości usług świadczonych przez lokalne kliniki stomatologiczne. Wielu pacjentów podkreśla znaczenie profesjonalizmu lekarzy oraz ich podejścia do pacjenta – zarówno przed zabiegiem, jak i po nim. Osoby decydujące się na wszczepienie implantów często zauważają znaczną poprawę jakości życia po zakończeniu leczenia. Dzięki nowym zębom mogą cieszyć się pełną funkcjonalnością jamy ustnej oraz odzyskać pewność siebie w kontaktach międzyludzkich. Pacjenci chwalą również komfortowe warunki panujące w klinikach oraz dostępność nowoczesnego sprzętu medycznego. Niektórzy użytkownicy zwracają uwagę na koszty związane z zabiegami, jednak większość zgadza się co do tego, że inwestycja ta jest opłacalna ze względu na długotrwałe efekty i poprawę jakości życia.
Jakie są najnowsze technologie w implantologii w Szczecinie
W Szczecinie, podobnie jak w wielu innych miastach na świecie, rozwój technologii w dziedzinie implantologii zębów jest niezwykle dynamiczny. Nowoczesne metody wszczepiania implantów oraz innowacyjne materiały wykorzystywane do ich produkcji znacząco poprawiają efektywność leczenia oraz komfort pacjentów. Jednym z najważniejszych osiągnięć jest zastosowanie cyfrowych technologii w planowaniu zabiegów. Dzięki skanowaniu 3D i tomografii komputerowej lekarze mogą dokładnie zaplanować miejsce wszczepienia implantu, co minimalizuje ryzyko powikłań oraz zwiększa precyzję zabiegu. Kolejnym krokiem naprzód jest wykorzystanie materiałów biokompatybilnych, które lepiej integrują się z tkanką kostną pacjenta, co przyspiesza proces gojenia. W Szczecinie wiele klinik oferuje również technologię „all-on-4”, która pozwala na wszczepienie czterech implantów w żuchwie lub szczęce, na których następnie mocowane są stałe protezy. Ta metoda jest szczególnie korzystna dla pacjentów z dużymi brakami zębowymi, ponieważ skraca czas leczenia oraz zmniejsza liczbę niezbędnych zabiegów chirurgicznych.
Jakie są przeciwwskazania do wszczepienia implantów zębowych w Szczecinie
Decyzja o wszczepieniu implantów zębowych w Szczecinie powinna być poprzedzona dokładną oceną stanu zdrowia pacjenta, ponieważ istnieje szereg przeciwwskazań, które mogą uniemożliwić przeprowadzenie tego zabiegu. Przede wszystkim osoby cierpiące na choroby ogólnoustrojowe, takie jak cukrzyca czy choroby serca, powinny być poddane szczegółowej ocenie przez lekarza prowadzącego. Niekorzystne mogą być także schorzenia związane z układem immunologicznym, które mogą wpływać na proces gojenia i integracji implantu z kością. Ponadto palenie tytoniu jest czynnikiem ryzyka, który może prowadzić do komplikacji pooperacyjnych oraz obniżać skuteczność leczenia. W przypadku pacjentów z chorobami przyzębia konieczne jest wcześniejsze wyleczenie tych schorzeń przed przystąpieniem do wszczepienia implantów. Również osoby przyjmujące niektóre leki, takie jak bisfosfoniany stosowane w leczeniu osteoporozy, powinny skonsultować się ze specjalistą przed podjęciem decyzji o leczeniu implantologicznym.
Jak dbać o implanty zębowe po ich wszczepieniu w Szczecinie
Prawidłowa pielęgnacja implantów zębowych po ich wszczepieniu jest kluczowa dla zapewnienia długotrwałego efektu oraz uniknięcia potencjalnych problemów zdrowotnych. Po pierwsze, ważne jest przestrzeganie zasad higieny jamy ustnej – należy regularnie szczotkować zęby co najmniej dwa razy dziennie oraz stosować nitkę dentystyczną do czyszczenia przestrzeni międzyzębowych. Warto również inwestować w specjalne szczoteczki do zębów przeznaczone dla osób z implantami, które pomogą dotrzeć do trudno dostępnych miejsc. Po zabiegu pacjent powinien unikać twardych pokarmów przez kilka tygodni oraz stosować dietę bogatą w składniki odżywcze wspierające proces gojenia. Regularne wizyty kontrolne u stomatologa są niezbędne – lekarz będzie mógł monitorować stan zdrowia implantu oraz otaczających tkanek. Warto również zwrócić uwagę na ewentualne objawy zapalenia lub dyskomfortu wokół implantu i zgłosić je lekarzowi jak najszybciej.
Jakie są różnice między implantami a tradycyjnymi protezami w Szczecinie
Wybór między implantami a tradycyjnymi protezami zębowymi to istotna decyzja, która wpływa na komfort życia pacjenta oraz jego zdrowie jamy ustnej. Implanty zębowe są trwale osadzone w kości szczęki i funkcjonują jak naturalne zęby, co pozwala na swobodne jedzenie i mówienie bez obaw o ich przesuwanie się czy wypadanie. Z kolei tradycyjne protezy są ruchome i wymagają stosowania kleju protetycznego dla zapewnienia stabilności, co może być niewygodne dla wielu osób. Ponadto protezy mogą powodować podrażnienia błony śluzowej jamy ustnej oraz prowadzić do utraty kości szczęki w dłuższym okresie czasu, podczas gdy implanty stymulują wzrost kości i pomagają zachować jej objętość. Warto również zauważyć, że koszt implantów może być wyższy niż tradycyjnych protez, jednak inwestycja ta często okazuje się bardziej opłacalna na dłuższą metę ze względu na ich trwałość i funkcjonalność.
Jak znaleźć najlepszego specjalistę od implantów zębowych w Szczecinie
Wybór odpowiedniego specjalisty od implantów zębowych w Szczecinie to kluczowy krok w procesie leczenia i powinien być dokładnie przemyślany. Istotnym elementem jest sprawdzenie kwalifikacji lekarza – warto zwrócić uwagę na jego doświadczenie w zakresie implantologii oraz posiadane certyfikaty i szkolenia. Dobrym źródłem informacji mogą być opinie innych pacjentów zamieszczone na stronach internetowych klinik czy portalach społecznościowych. Warto również porozmawiać ze znajomymi lub rodziną, którzy mieli doświadczenia związane z leczeniem implantologicznym – ich rekomendacje mogą okazać się niezwykle pomocne. Kolejnym krokiem jest umówienie się na konsultację, podczas której można ocenić podejście lekarza do pacjenta oraz jego umiejętność wyjaśniania poszczególnych etapów leczenia. Dobrze jest także zwrócić uwagę na wyposażenie kliniki – nowoczesny sprzęt medyczny świadczy o wysokim standardzie usług oraz dbałości o komfort pacjentów.
Jak długo trwa proces gojenia po wszczepieniu implantów w Szczecinie








